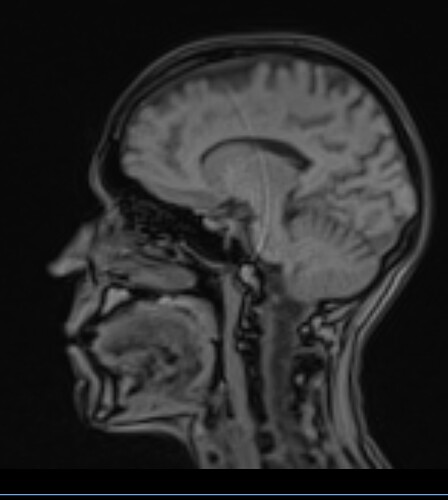
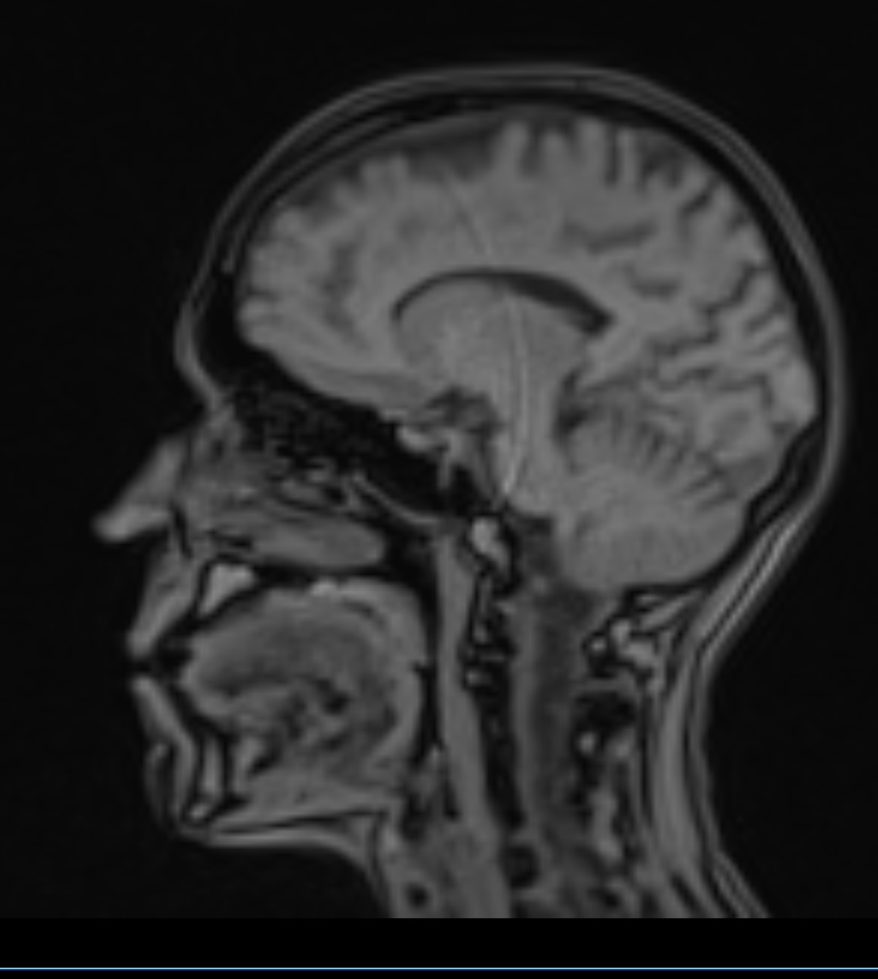
It looks to me like what is called an ‘artifact’ or glitch in the recording process. There is NO WAY a catheter, or probe, etc. would have such a circular looking path through all those layers of cortex, midbrain, corpus callosum, etc. Also bear in mind that MRIs are rendered one slice at a time, and the likelihood of such an object aligning ‘perfectly’ with the slice geometry along such a long distance, is just impossible.
Thank you! It appears in several sequences so it was concerning, and aligned with a marked artifact noted on another view.
Obviously an artifact if it appears on multiple image slices. Possibly change which facility / MRI machine you are using.


